Traitement par corticostéroïdes
Les traitements corticoïdes agissent en ciblant deux des mécanismes à l'origine de l'OMD
Traitements Anti-VEGF
Grâce aux découvertes scientifiques et à la compréhension des mécanismes menant à l'OMD, de nouveaux types de traitements ont vu le jour tel que les anti-VEGF
Photocoagulation au laser
La photocoagulation au laser consiste à cautériser les zones ischémiques de rétine périphérique, donc non fonctionnelles.
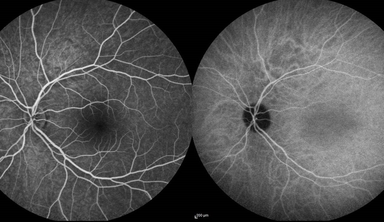
Angiographie à la fluorescéine
L'angiographie à la fluorescéine est une technique d'imagerie invasive où un colorant, la fluorescéine, est injecté au patient dans le bras afin d'être mise en circulation dans le sang.
Tomographie en cohérence optique (OCT)
La tomographie à cohérence optique (OCT) est l’examen de référence pour le diagnostic de l’OMD.
Fond d’œil
Le technique de photographie du fond de l'œil est une technique utilisée pour déterminer les atteintes physiques de la rétinopathie diabétique et de l'œdème maculaire.
Bilan pré-thérapeutique
Le bilan pré-thérapeutique possède plusieurs objectifs:
Symptômes
L'Œdème Maculaire Diabétique provoque des effets sévères sur la vision
Les autres facteurs d’OMD
D’autres facteurs de risques ont pu être identifiés comme favorisant l'apparition d'un OMD: